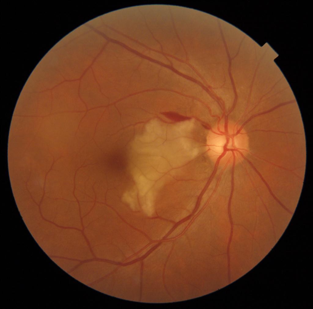
網膜動脈閉塞症

網膜動脈閉塞症は網膜静脈閉塞症と同様,網膜中心動脈閉塞症と網膜動脈分岐閉塞症に分けられます.原因の8割は網膜動脈の動脈硬化による血栓で,危険因子として,加齢,高血圧,高脂血症,糖尿病,肥満,喫煙,運動不足等があります.もう一つの原因として塞栓があります.多くは頸動脈からのもので,他に心臓,大動脈からの場合もあります.(一過性黒内障参照.)症状は片眼性の急激な視力低下ですが,分岐閉塞症の場合は視野障害や無症状の場合もあります.治療は発症2時間以内の場合は眼球マッサージ,前房穿刺,緑内障点眼薬,脱水酸素酵素阻害剤内服などによって眼圧を低下することがありますが,多くの症例で改善は困難です.

発症後,2割の方に新生血管が発生し網膜光凝固術が必要になる場合があり,経過観察が必要です.